5月龄的小柚子(化名)脸上长了个鸽子蛋大小的肿瘤,由于紧贴着脑神经,如果贸然切除可能导致面瘫。广州医科大学附属第三医院张刚主任医师团队通过手术治疗,不仅剔除了肿瘤,还保住了小柚子的“微笑神经”,让小柚子未来能够和正常人一样开怀大笑。

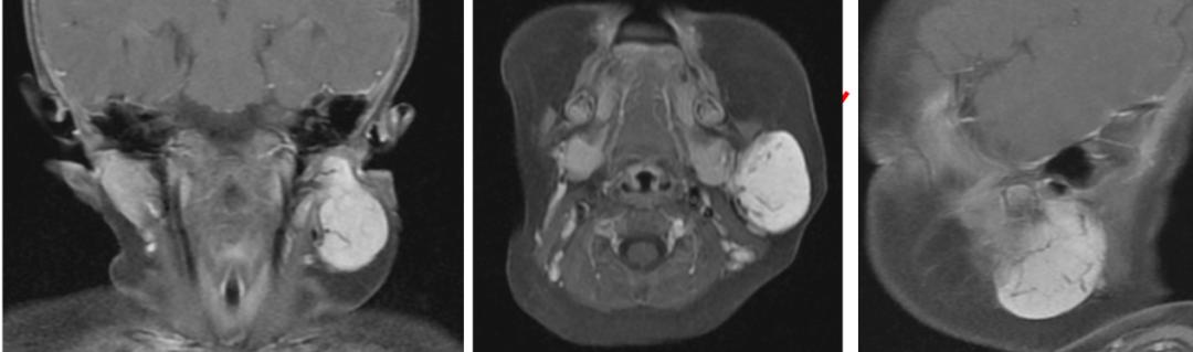
小柚子左侧耳下方鸽子蛋大小肿物
5个月大宝宝脸上长出鸽子蛋大肿瘤
小柚子三个月大时,父母无意中摸到他的左侧脸颊有个小肿物,触摸时孩子似乎没什么感觉,家人便没放心上。不料肿物两个月后便长至鸽子蛋大小,当地医生建议排查是否为腮腺肿瘤。于是,小柚子的父母带着孩子来到广州医科大学附属第三医院小儿外科求医。
经磁共振检查,医生发现,小柚子左侧脸颊有颗直径达4厘米的肿瘤,它紧贴着控制笑容、眨眼、嘟嘴等动作的第七对神经——面神经。
“面神经主干及分支一旦损伤,孩子可能永远失去自然微笑的能力。”张刚主任医师解释说,“但是如果放任不管,肿瘤会持续长大,不仅手术难度会更大,还可能压迫周围器官,甚至有恶变风险。所以我们必须手术,并且要做到肿瘤切除干净,神经无损,才能保住他的笑容。”

磁共振提示肿物与面神经关系密切
三个多小时手术打赢“微笑保卫战”
一场“微笑保卫战”就此打响:宝宝只有5个月大,体重不足成人的十分之一,血管细如发丝,肿瘤与面神经紧密缠绕——这台手术的难度,被医生们形容为“在豆腐上雕花”。
手术当天,广医三院麻醉团队先为小柚子建立精准的生命体征监测,用适合婴幼儿的微剂量麻醉方案,确保孩子术中安全;护士团队提前备好细如蚕丝的手术器械,反复核对器械型号;张刚医生团队则在显微镜下一点点剥离肿瘤与神经的粘连。手术总用时3小时20分钟,医生们一毫米一毫米地仔细分离肿瘤与神经,最终成功将肿瘤完整切除,面部神经主干及分支完好无损。
“笑了!宝宝还会笑!”术后,小柚子醒过来,面对查房的医护人员,露出了笑容。那一刻,整个病房都被点亮了。小柚子的妈妈激动得红了眼眶,一边用手机记录下这一幕,一边反复确认孩子的眼睛能不能正常闭合、嘴巴能不能顺利嘟起来。

“婴幼儿颌面部手术,不仅考验技术,更考验团队的默契与担当。”主刀医生张刚表示。
目前,小柚子恢复良好,吃奶香、睡得稳,面部表情灵活自然,已顺利出院。
宝宝头颈部出现异常,以下4种情况应及时就医
婴幼儿无法主动表达不适,如何发现其头颈部的异常?张刚提醒,家长可通过“观察+触摸”及早发现,出现以下4种情况时,务必尽快带孩子到正规医院就诊:
1.肿物快速变化:发现面部、颈部等部位有肿块后,1-2周内明显增大(如从黄豆长到鸽子蛋),或质地从柔软变坚硬、边界从清晰变模糊;
2.面部外观异常:孩子出现单侧面部隆起、左右脸不对称,或肿物表面皮肤发红、发热,甚至出现破溃;
3.功能受影响:孩子吃奶时嘴巴歪斜、吞咽困难,或出现眼睑闭合不全、频繁流口水,甚至哭闹时单侧面部不动(提示神经可能受压);
4.伴随不适表现:孩子频繁用手抓挠肿物部位、触碰时哭闹(可能有疼痛感),或出现发热、精神差、体重不增等全身症状。
医学指导/广医三院小儿外科负责人、副主任医师张刚
文/广州日报新花城记者:翁淑贤 通讯员:王慧、白恬、碗旭照
图/广州日报新花城记者:翁淑贤 通讯员:王慧、白恬、碗旭照
视频剪辑/广州日报新花城记者:翁淑贤
州日报新花城编辑:伍仞















































