“原来,说一句完整的话都不够气,晚上睡觉也没法平躺。”年逾五旬的患者孙先生(化名)有40多年的吸烟史,还患有慢性阻塞性肺病,体检时竟被发现他的双肺多发肺大泡,直径达14cm!
暨南大学附属顺德医院(顺德第二人民医院)胸外科刘文粤团队通过微创手术顺利为这位老烟民切除巨型肺大泡,成功解决“炸肺”隐患。术后,孙先生的呼吸顺畅了不少,已于近日顺利出院。
男子双肺长起“鱼泡”?
被确诊慢阻肺合并肺大泡
53岁的孙先生有40余年的吸烟史,睡觉难以平躺,每天只能直坐着,而且他总是咳嗽喘不上气,这给他的生活带来了诸多困扰。
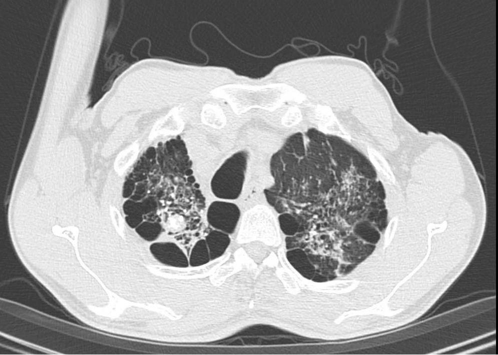
“来到医院时,患者不停地喘气。通过CT检查,发现他两侧的肺组织都长着像鱼泡一样的结构——被称为‘肺大泡组织’。”胸外科主任刘文粤说,患者右肺肺大泡相互融合,较大的约14.4cm*8.1cm,合并肺气肿及胸腔粘连。
陈旧性肺结核多发肺大泡
融合形成巨大肺大泡
据介绍,肺气肿多见于慢阻肺患者中,如果同时并发肺大泡,肺组织进一步受到肺大泡挤占,患者常常伴随着严重呼吸困难。考虑到患者肺功能状态很差,憋喘较重,当务之急是要想办法切除这个肺大泡,否则可能危及生命。
微创治疗成功切除肺大泡
“我们愿意相信医生!”在患者和家属的同意和支持下,手术如期进行。
胸外科刘文粤主任团队为患者实施“右肺多发肺大泡切除术+胸腔粘连松解术+胸腔闭式引流”手术,术中根据情况选择性切除患者融合巨大肺大泡及术野较大肺大泡,仔细修补其余漏气部位。
手术进行时
手术过程很顺利,术后孙先生恢复良好,胸腔引流管顺利拔除,胸闷,气促等呼吸系统症状明显得到有效缓解。
刘文粤主任提醒患者应戒烟,并且避免过多接触粉尘污染物对于预防慢阻肺非常重要。此外,还要定期接受肺功能检查,若发现疾病端倪应及时就医。
文/广州日报新花城记者:王名润 通讯员:邱善泉、陈奕彤
图/院方提供
广州日报新花城编辑:何波



























































