12岁的小女孩小美(化名)在校时突然出现了不明原因的强烈腹痛,于是被送到当地医院按胃肠炎治疗但不见好转,次日被转送至广州医科大学附属中医医院急诊。经全腹CT检查,提示肠坏死、小肠多段套叠梗阻,此时小美已进入了休克状态,多科专家迅速组成了手术团队为她做了小肠切除吻合手术,最终化险为夷。
术后,医生们发现小女孩下嘴唇有多处黑斑,追问病史,才知道她曾因这些黑斑到多家医院皮肤科就诊,但治疗效果不佳。这却无意中揭开了小美长期病痛的谜团——黑斑息肉综合征(Peutz-Jeghers综合征)。

小女孩因腹痛入院,意外查出嘴唇黑斑病因
12岁的小女孩小美(化名)在校时突然出现了不明原因的强烈腹痛,于是被送到当地医院按胃肠炎治疗,但不见好转,第二天被转送至广州医科大学附属中医医院就诊。
外一科(胃肠甲乳外科)杨泽填主治医师接到儿科医生急会诊通知,迅速到床边查看。小美腹肌紧张,全腹压痛,可见肠形,肠鸣音消失,心率高达170次/分,血压低至70/30mmHg,情况危急。随后,全腹CT检查提示肠坏死,小肠多段套叠梗阻。杨泽填医生马上意识到,这是急腹症。此时小美已处于休克状态,需要立即进行扩容、胃肠减压,并紧急安排剖腹探查。他迅速向普外科杨振淮主任、李关宁主任及儿科石艳红主任汇报,立即安排手术。


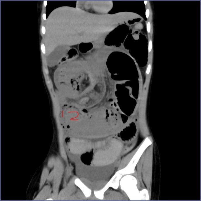
CT检查显示患者肠套叠和多发息肉。(图片由医院提供)
儿科、普外科及手术室紧密配合,迅速完成了术前准备,将患儿送到手术室。由杨俊杰副主任医生带领的手术团队迅速进行剖腹探查,发现患者近1米小肠套叠坏死,黏膜完全脱出,肠内容物均为黑色坏死组织。手术医生迅速减压后离断坏死小肠,并继续探查发现小肠多处息肉及一段套叠梗阻小肠,且经过复位后仍有梗阻,手术团队果断决定切除两段梗阻小肠并进行吻合,同时将触及的小肠息肉切除送检。
术中,患者多次血压测不出,牵动着在场所有人的心。终于,手术医生们凭借精湛的技术和坚定的信念,迅速完成小肠切除吻合。在麻醉科陈燕副主任医生及黄琼葵医生的保驾护航下,手术最终顺利完成。
术后,当医生们再次查看患者时,发现小女孩下嘴唇有多处黑斑,再追问病史,才得知她在幼时曾做过一次肛门肠息肉切除手术。在她3岁时,从肛门凸出了一块息肉,经肛门切掉后就再没出现过任何症状,所以就一直没在意了。不过,她曾因为嘴唇和口腔内的黑斑到多家医院皮肤科就医,治疗效果欠佳。此次紧急救治,终于揭开了小女孩长期病痛的谜团——黑斑息肉综合征(Peutz-Jeghers综合征)。
什么是黑斑息肉综合征?
杨泽填介绍,黑斑息肉综合征(Peutz-Jeghers综合征)是一种罕见的常染色体显性遗传疾病,发病率约为1/20万。作为一种染色体遗传病,50%的黑斑息肉综合征患者伴有家族史。该疾病目前确定的致病基因为丝氨酸/苏氨酸激酶11(STK11),这是一种抑癌基因,STK11基因突变会导致STK11蛋白激酶表达缺失或减弱,进而引起下游相关信号调节通路、癌基因及抑癌基因的表达变化,最终导致发病。
杨泽填介绍,在临床上,黑斑息肉综合征有三大特征性表现,包括皮肤黏膜色素斑、胃肠道多发息肉以及随年龄增长肿瘤易感性增加。
皮肤黏膜色素斑:较多分布于口周、鼻周、眼周、肛周及四肢末端,大小为1~5mm。色素斑多呈黑色、深褐色,颜色均匀,不突出于皮肤表面,部分患者可见色素斑融合成片状。色素斑部位、颜色深浅及数量与消化道息肉严重程度无相关性,青春期后,多数患者除颊黏膜外,其他部位的黏膜色素斑会随年龄增长而逐渐消退。
胃肠道多发息肉:常于皮肤黏膜色素斑后出现,好发于小肠,尤其是空肠,其他为结肠、直肠和胃,同时也可见于消化道以外部位,如鼻腔、阑尾、胆囊、膀胱、尿道、子宫、阴道等。
肿瘤易感:多表现为消化道肿瘤,以结直肠癌最多见,其次是乳腺癌、小肠癌、胃癌及胰腺癌等。这种错构瘤性息肉是以非癌性方式生长,18岁前黑斑息肉综合征患儿恶性肿瘤风险为零,但自成年后胃肠道、乳腺、胰腺等部位的恶性肿瘤发生率会明显增加。
那么,黑斑息肉综合征怎么治呢?杨泽填介绍,黑斑息肉综合征的治疗手段主要包括息肉切除、癌症筛查与监测以及遗传咨询与基因检测。对于小息肉或无并发症的息肉,首选内镜下切除;若息肉过大或引发肠梗阻、肠套叠等严重并发症,则需要手术切除。同时,患者应定期进行胃肠道肿瘤及其他器官肿瘤的筛查,以及接受STK11/LKB1基因检测,以指导后代风险评估和监测计划的制定。
医学指导/广州医科大学附属中医医院外一科(胃肠甲乳外科)主任杨振淮主任医师
文/广州日新花城记者 吴婉虹 通讯员 杨泽填、徐心怡
图片由医院提供
广州日报新花城编辑:梁超仪











































