三个月前,54岁的刘叔开始出现不明原因的咳嗽,起初以为是普通感冒,在当地诊所开了些止咳药。然而日子一天天过去,咳嗽不仅没有好转,反而越来越严重。“晚上经常咳得睡不着觉,整个人都没精神。”刘叔回忆道。
在当地医院检查后,CT报告上“不排除肺肿瘤可能性”的字样让刘叔一家陷入了焦虑。为求进一步明确诊断,刘叔来到广州中医药大学番禺医院(番禺区中医院)呼吸与危重症医学科就诊。

精准诊断破解临床难题
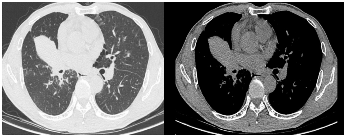
呼吸与危重症医学科罗胜主任接诊后,立即组织医疗团队对病情进行深入分析。结合刘叔的胸部影像学报告,医疗团队初步判断其存在“右肺门肺肿瘤、肺门淋巴结肿大”。罗胜主任指出:“病灶位置很深,紧贴着大血管,常规检查手段难以安全到达,诊断面临很大挑战。”
传统支气管镜受限于视野与操作范围,无法安全触及位置较深的肺门淋巴结;若采用盲目穿刺,不仅极易损伤周围血管引发大出血,还可能因取样不准确导致误诊、漏诊,诊疗风险极高。面对这一难题,医疗团队经过充分讨论,决定为刘叔实施超声小探头引导下经支气管镜肺活检术。
术中,医生将直径仅约2毫米的超声微探头经支气管镜送入气道,对目标区域进行360°实时扫描,清晰显示病灶及其周边血管关系,实现了“精准导航”。在超声实时监测下,团队成功钳取8块高质量组织标本。整个手术过程出血极少,患者术后仅轻微咳嗽,恢复良好。


明确诊断指引治疗方向
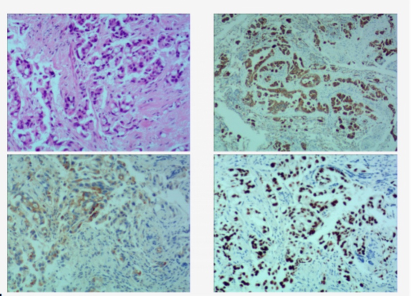
术后第三天,病理结果出来了:浸润性肺腺癌。尽管这个诊断结果令人沉重,但明确的诊断让后续治疗有了清晰的方向。
“虽然得了这个病很不幸,但至少现在知道是什么病,该怎么治了。”刘叔在得知诊断结果后反而显得平静了许多。之前三个月的辗转求医、各种不确定性的煎熬,终于画上了句号。
基于精准的病理诊断,医疗团队为刘叔制定了个体化的综合治疗方案。考虑到病灶位置的特殊性和患者的身体状况,团队采用了中西医结合的治疗策略,在规范化疗的基础上,配合中药扶正祛邪,最大程度减轻治疗副作用。
微创技术造福更多患者
超声小探头引导下经支气管镜肺活检术的成功开展,标志着医院呼吸介入诊疗能力实现新突破。该技术可深入至第六、七级支气管,触及肺外周、肺门深部病灶;通过实时超声成像提升活检准确率和安全性。相较于传统方法,这种微创技术仅通过气道自然腔道进行操作,体表无创口,出血风险低,患者痛苦小,术后恢复快,能有效缩短诊断周期,为后续治疗争取宝贵时间。
此次手术成功开展,是番禺区中医院呼吸与危重症医学科团队长期深耕呼吸介入领域、持续提升技术水平的成果。未来,番禺区中医院将继续推动呼吸介入技术的创新与应用,不断拓展精准诊疗的边界,为区域内肺部疾病患者提供更优质、更便捷的医疗服务。
文、图/广州日报新花城记者:肖桂来 通讯员 王温欣、黄财英
广州日报新花城编辑:时秀芙




















































