64岁的王女士(化名)怎么也没想到,一场旅行会变成生死考验——突发的呼吸困难几乎“锁”住她的喉咙,检查发现,胸骨后一颗巨大的甲状腺肿瘤已经把气管压得只剩4.9毫米宽,窒息风险随时可能降临。幸运的是,广州市红十字会医院通过多学科MDT “拆锁”,最终帮她闯过了鬼门关。专家提醒,甲状腺问题不可怕,怕的是“不重视、不复查、不处理”。早发现、早诊断、早治疗,是应对甲状腺问题最有效的方式。
突发险情:巨大肿瘤“扼喉”命悬一线
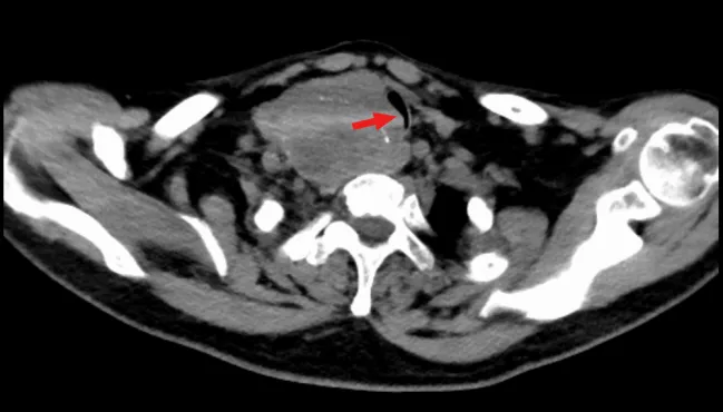
近日,王女士游玩途中,突发呼吸困难伴意识模糊,被紧急送往当地医院。为求进一步治疗,患者随即返穗,找到广州市红十字会医院肝胆胰腺甲状腺病区副主任、主任医师吴帆寻求帮助。入院后的检查结果更让人揪心,患者右侧甲状腺肿块直径超过10厘米,存在恶性可能。更严重的是,肿物向下突入胸腔,如同一只“魔手”紧紧扼住气管,导致气管最窄处仅剩4.9毫米,患者随时面临窒息风险,须尽快手术解除压迫。

多学科会诊(MDT):缜密研判,共商手术良策
面对如此紧急且复杂的病情,肝胆甲状腺外科立即启动MDT,联合麻醉科、重症医学科、心胸外科、输血科等多学科专家会诊。麻醉科王爱群主任指出,患者气管受压严重,插管难度大,且存在气管软化及术后塌陷风险。
团队据此制定了包括术中行气管悬吊术预防气管塌陷、开胸手术方案、术前贮存式自体血回输准备等在内的详细预案。
术中破局:经颈入路巧除瘤,气管悬吊保呼吸
在多学科团队精密协作下,手术如期开展。麻醉科团队运用先进气道管理技术,成功规避了麻醉诱导中可能出现的呼吸道风险,为后续手术打通了关键“生命通道”。
麻醉成功后,肝胆甲状腺外科团队立刻接力。按照术前计划,没有选择创伤更大的开胸手术,而是从颈部做切口,在狭小的空间里精细操作。“肿瘤太大,还跟喉返神经、甲状旁腺这些‘娇嫩’的重要结构紧贴在一起,稍微碰错一点,患者术后可能就会声音嘶哑、手足抽搐。”吴帆说。
凭借丰富经验,团队一点点剥离肿瘤,不仅完整切除了右侧的巨大肿物,还小心翼翼护住了周围的重要神经和腺体。术中冰冻病理提示右侧为甲状腺癌,为了实现根治,团队当即决定同期切除左侧甲状腺。
肿瘤移除后,原本被压扁的气管果然局部塌陷。医生们立刻按预案施行气管悬吊术,用缝线把气管塌陷狭窄的地方“吊”起来,让它尽量恢复原本的形态。整个手术下来,只回输了患者术前贮存的300毫升自体血,没输一滴异体血。
术后,患者转入重症医学科接受个体化监护,成功度过感染与呼吸难关,并顺利拔除气管插管。在医护团队的精心治疗和护理下,患者恢复期间未出现声音嘶哑、饮水呛咳、手足抽搐等并发症,显示重要结构保护良好。最终的病理报告确诊为甲状腺多原发癌,但因为切除及时、彻底,治疗效果预计良好。近日,王女士已经康复出院。
关注甲状腺健康,别让“小疙瘩”变成“大麻烦”
很多人在体检时都会发现甲状腺上长了“小疙瘩”,医学上称为“甲状腺结节”或“肿物”。绝大多数结节是良性的,但专家提醒,切不可掉以轻心。
为什么甲状腺肿物要定期复查?
吴帆介绍,甲状腺结节就像身体里的“潜伏者”,初期往往不痛不痒,但有些会悄悄长大,甚至“变坏”(即癌变)。定期随访复查,就像定期监视它的动向,一旦发现它长大过快、形态可疑,或开始压迫气管、食管,引起呼吸不畅、吞咽困难、声音嘶哑等症状,就能及时处理,避免陷入更危险的境地。
如果复查中发现结节有明显恶性特征、增长迅速,或已经导致压迫症状(如憋气、吞咽不适),医生通常会建议尽早手术。拖延不仅会增加手术难度,也可能让原本可控的问题发展成更严重的疾病。
如何预防和早期发现甲状腺疾病?吴帆建议市民每年进行一次甲状腺超声检查,这是发现结节最敏感、无创的方式。如果发现自己颈部增粗、触摸到硬块,或出现无缘无故的声音嘶哑、呼吸费力、吞咽有梗阻感,都应尽快到甲状腺专科就诊。
文、图/广州日报新花城记者:张青梅 通讯员:胡颖仪、孙冰倩
广州日报新花城编辑:吴婉虹



















































