近日,广州医科大学附属番禺中心医院紧急救治了一名9岁的女孩小英(化名)。在家中的不慎一跌,她手中握着的筷子意外刺入右眼内眦。经过120急救车的紧急转送,小英被送到了该院的急诊科。

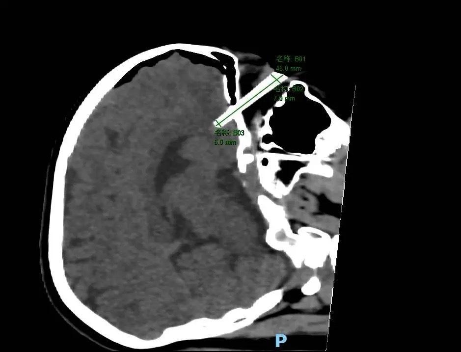
头部CT检查结果显示,筷子已穿透眼眶,进入脑内,导致小英右侧脑部出现内出血,情况极其危险。筷子紧挨着右眼球穿过,一旦拔除,极有可能引发颅内大量出血,需进行开颅手术,可能造成严重的神经、精神功能障碍,甚至导致右眼失明,以及脑脊液漏、颅内感染、癫痫发作等严重并发症。

筷子直插入脑CT图
在与家属充分沟通病情后,神经外科和眼科专家迅速联合为小英实施了右侧眶-颅内异物取出手术,成功取出了长约4.5厘米的筷子。

术中取出的筷子
万幸的是,筷子并未伤及大脑的主要动脉和视神经。术后CT复查显示,小英右侧脑部原异物处仍有少量出血,但在ICU的精心治疗下,小英逐渐苏醒,四肢活动自如,双眼视力正常,仅在右眼内眦留下一个小伤口。

小英术后的眼部伤口情况

术后复查右侧脑部CT图
该医院医生表示,儿童和青少年因对危险因素的判断不足或缺乏合理照护,更容易遭受意外伤害,这成为导致该年龄段儿童死亡或残疾的主要原因之一。颅眶穿通伤虽临床发生率不高,但病情危重,并发症多,病死率较高。因此,一旦发生,需紧急处理。若处理不当,可能导致脑血管大出血,危及生命和视力。
医生提醒大家,若不幸发生此类意外,切勿自行拔除异物,应立即到医院接受专业诊治。为了预防儿童意外伤害,请记住以下三级预防措施:
一级预防:采取措施减少伤害危险因素,如妥善收藏尖锐物品、电源插座、易燃易爆物质,安装防护栏,放置药品和清洁剂于儿童无法触及的地方,避免儿童接触火源和热源等。
二级预防:伤害发生时,通过及时救治减少伤害,如教育孩子如何求助,学习基本急救技能等。
三级预防:伤害发生后,通过积极治疗提高生存质量和生存率,如及时送医治疗,进行康复治疗和持续照护。
安全无小事,让我们共同为孩子们营造一个安全的生活环境。
文、图/广州日报新花城记者:肖桂来 通讯员:邱红娟、王映芹























































