高尿酸血症正悄然成为威胁现代人健康的“隐形杀手”。高尿酸血症是一种嘌呤代谢障碍引起的代谢性疾病,代谢过剩的尿酸盐结晶不仅可诱发痛风,引起关节肿胀疼痛;长期反复发作还可形成痛风石,侵蚀骨头导致软骨破坏、骨质损伤及功能障碍,严重影响患者生活质量。暨南大学附属第一医院骨科副主任、主任医师张还添提醒,痛风的防治,首要原则是“预防为主”,须从饮食、运动、药物等多方面入手。
十年病痛终难行,关节惨遭痛风蚀
“近期我们门诊就遇见了一位60多岁的痛风患者黄先生(化名)。他当时来的时候一瘸一拐,每一步移动都异常艰难。”询问得知,黄先生患有高尿酸血症,膝关节已经肿痛十余年了,其间尝试过针灸、关节腔注射玻璃酸钠、理疗、按摩、小针刀等多种保守治疗方案,但效果不佳,现在连走平路都变成了一种奢望。
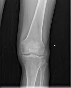
经过详细的体格检查,结合影像学所见,张还添发现黄先生X光片关节间隙尚可,但左膝关节屈伸活动严重受限。进一步磁共振检查发现,黄先生的膝关节可见大量不明物(MRI T2加权显示低密度影),这些坚硬结晶不仅侵蚀软骨与韧带,更形成游离体,直接导致关节不稳与机械性绞锁,保守治疗难以奏效。

X光未见关节间隙明显狭窄及骨赘增生
机器人精准置换,终结十年之痛
针对此类晚期痛风性膝关节炎,张还添团队为其施行了机器人辅助下全膝关节置换术。术中所见触目惊心:切开滑膜,痛风石如同挤牙膏般全部出来,灰白色的痛风结晶如石灰浆般覆盖整个关节面,部分凝结成游离体嵌顿于关节间隙,加速软骨磨损并诱发持续炎症——这就是导致黄先生10多年疼痛及屈伸活动障碍的罪魁祸首!
通过机器人辅助下膝关节置换术,医生彻底清除了沉积的痛风石及关节内游离体,并成功完成人工膝关节精准置换。术后黄先生膝关节屈伸活动明显改善,疼痛等症状显著缓解,下肢力线恢复理想,行走能力得到有效恢复。
防治结合,“三多三少”是关键
如何防治痛风石?张还添支招如下:
1.首要原则是“预防为主”
痛风的防治,首要原则是“预防为主”,基础在于健康的生活方式。包括:
合理运动与休息:规律进行温和的有氧运动(如游泳、快走)。急性发作期则需充分休息,减轻关节负担。
严格饮食管理:遵循“三多三少”原则。多吃新鲜蔬菜水果;多食奶制品;多饮水。少摄入果糖/不喝含糖饮料(如果汁、碳酸饮料);少喝酒;少吃高嘌呤食物(如动物内脏、浓肉汤、海鲜)。
2.规范化的药物治疗不可或缺
在医生指导下,长期、规律服用降尿酸药物。定期监测血尿酸。急性发作期可在医生指导下使用抗炎止痛药物,并辅以局部冷敷减轻肿痛。
3.手术治疗是最终手段
对于尿酸长期失控、痛风石巨大、骨质严重侵蚀、关节畸形或导致关节功能丧失(如活动严重受限、行走困难)时,保守治疗往往难以挽回,这时候则需要考虑手术治疗。
文、图/广州日报新花城记者:张青梅 实习生:蓝金群 通讯员:罗方伋、储浩洋、张灿城
广州日报新花城编辑:何雪华























































