科学既要观宇宙之宏大,更需察粒子之精微。透射电子显微镜广泛应用于材料科学和生命科学的研究之中,可精确观察亚纳米级(0.1nm)微小物体的排列情况,但这一高端科学仪器以往长期依赖进口,一台动辄上千万元。今年1月20日,首台国产商业场发射透射电子显微镜TH-F120在广州正式发布,取名“太行”。该透射电镜由生物岛实验室领衔研制,由广州慧炬科技有限公司负责商业化运营,拥有自主知识产权,打破了国内透射电镜100%依赖进口的局面,是中国电子显微技术的重大突破。
未来,该公司还计划推出场发射透射电镜系列EM-F200“峨眉”、KL-F300“昆仑”,冷冻透射电镜系列YL-F100C“玉龙”、TGL-F200C“唐古拉”、 ZMLM-F300C“珠穆朗玛”,热发射透射电镜系列QL-T120“秦岭”、DX-LaB120“丹霞”……“我们的透射产品将均以中华名山取名,我们的终极目标是珠穆朗玛峰。”广州慧炬科技有限公司系统工程师林峻光说。

创新故事
“为国铸镜”攻坚克难
很多科学实验和新材料产品的生产研制都仰赖透射电镜,如果没有透射电镜的精准观测,科学家们拿不到一手数据,科研进展也就容易慢人一步;高科技企业观察不了材料内部结构,产品质量无法保障。但透射电镜彼时全赖进口,市场被两家外国企业垄断。
为了攻克这一长期困扰中国科技界的痛点,早在8年前,我国科学家就对透射电镜展开攻关研究。2016年8月,中国科学院生物物理研究所召集了国内各方有志于国产电镜装备研制事业的专家学者、企业家、政府负责人召开研讨会。2017年12月,生物岛实验室成立,其中生物医疗器械部的生物医学显微成像研究组由孙飞研究员领衔成立,开启国产电镜核心技术攻关。2020年4月,生物岛实验室组建起电镜研发的体系化工程技术团队,正式入驻中巨华禧智造谷园区,国产电镜的研制进程开始全速推进。2022年11月,广州慧炬科技有限公司正式注册成立。2023年4月,团队承担的广东省重点领域研发计划项目“120kV场发射冷冻透射电镜核心部件”和“100kV高通量高分辨率场发射冷冻电镜”顺利通过现场考察及中期验收。
2024年1月,拥有自主知识产权的首台国产商业场发射透射电子显微镜TH-F120“太行”正式面向全球用户发布。这标志着我国已掌握透射电镜用的电子枪、高压电源等核心技术,并具备量产透射电镜整机产品的能力,正式宣告我国突破透射电镜这一“卡脖子”技术。

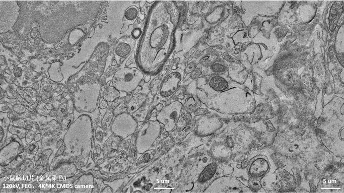
TH—F120“太行”应用案例:小鼠脑切片
事非经过不知难,成如容易却艰辛。林峻光说,在研制透射电镜的过程中,团队几乎每天都会面临挑战。特别是在整机设备的测试中,团队常常会遇到一些从未见到过的现象以及与预期不符的结果。
“例如,要保持透射电镜内部的高真空就是一大难点。”林峻光说,透射电镜以电子作为“光源”,这就需要保证电镜内的高真空环境,否则电子就会和空气发生碰撞,照射不到样品上,“一开始,我们按照一套通行的理论去制作电镜,但在测试时却发现真空环境不达标,这意味着实际的组装过程中产生了偏差,到底哪里出现了问题?我们就集中相关技术背景的同事一起讨论,先分析理论是否有问题,再分析不真空的现象是怎么产生,之后回头排查过程中的每一个步骤,关注每一处细节。找到问题的原因后,我们就系统地去做计划,怎么去解决和避免不真空,我们采用了非常严谨的模式去解决了这个问题。”
林峻光表示,在团队攻坚的日子里,他最大的收获正是找到了在仪器研制上攻坚克难的科学方法,“我们从一开始做现象分析、过程分析,再到定位问题、分析问题,研究解决问题的方法,到最后解决问题,这背后正是科学有效工作方法的运用。在这个过程中,我们增强了自己的信心,我们也知道了该用怎样的方法和流程去突破后续的难题。”
未来要向“珠峰”迈进
相比于国外透射电镜,TH-F120有四大优势,虽是首款产品,但可谓“入门即高配”。
“优势一是人机分离,电镜空间与工作空间分离,减少人为干扰,提升安全性,带来舒适的使用体验;优势二是操作高效方便,各模块控制高度集成至PC端,全中文软件交互界面大大提升操作效率;优势三是配置强,将场发射电子枪、高自动化系统等配置120kV平台;优势四是拓展丰富,透射电镜预设充足的附件加装接口以及整机升级空间,满足用户使用新需求,有效应对多样的应用场景。”林峻光说。
世上无难事,只要肯攀登。林峻光说,目前TH-F120透射电镜的产业化进程已经到了量产阶段,下一步公司将扩大生产规模,提升产能,同时将持续创新和技术升级,以给用户带来更好的体验,“目前我们的产品已经给很多科研院所试用,也有一些院所将样品寄给我们,让我们用透射电镜拍摄,大家的反馈都是非常正向的。”
林峻光介绍,未来企业将开发200KV、300KV的透射电镜、冷冻透射电镜、热发射电镜等产品,并在产品的智能自动化方面进一步提升,“我们每研发成功一款产品,公司就安排去对应的名山旅游。我们的终极目标是去珠穆朗玛峰旅游。”

由生物岛实验室领衔研制,拥有自主知识产权的首台国产商业场发射透射电子显微镜TH—F120“太行”
广州“研”值
透射电镜填补国内空白
●在广州研制成功的TH-F120透射电镜宣告我国突破透射电镜这一“卡脖子”技术,填补了国产化空白。同时也标志着我国已掌握透射电镜用的场发射电子枪等核心技术,并具备量产透射电镜整机产品的能力。广州在透射电镜的科研与生产领域已经达到国际先进水平。
●透射电镜也将为广州在材料科学、生命科学等前沿科学及工业领域的高质量发展提供有力支撑。例如,广州在生命科学研究的前沿领域走在全国前列。作为“十四五”期间广东获批建设的4个大科学设施之一——人类细胞谱系大科学研究设施有望在下半年开工,通过汇集人体细胞多组学的海量数据,绘制人类谱系单细胞精度的“航海图”。依靠国产透射电镜,人类细胞将被更加精准地观测。
“科到了”
分辨率超高 可观察原子的排列
与光学显微镜不同,透射电镜是以电子作为“光源”,电子通过(电磁)透镜汇聚照射到并穿过(观察物)样品,再通过后面的透镜进行放大观察。这就好像我们观看皮影戏一样,把人物投影放大到屏幕上,只是处理方式不一样。
透射电镜最强之处是其超高分辨率可达到亚纳米级别(0.1nm),这意味着透射电镜可以观察到原子的排列情况,可以细致观察材料内部的结构,这对材料科学和纳米技术的研究至关重要。
透射电镜对我们研究材料科学中新材料的特性,研究生命科学中人体细胞组织、病毒等起到至关重要的作用,这是其他显微镜不具备的能力。
统筹/陈雅诗
文/广州日报新花城记者:武威
图、视频/广州日报新花城记者:王维宣
视频/广州日报新花城记者:王维宣
视频剪辑/广州日报新花城记者:王维宣、陈雅诗

























































