6岁女孩明明(化名)患有“长发公主综合征”,突发腹痛的她检查出胃里有巨大的毛发石。近日,中山大学孙逸仙纪念医院小儿外科主任邓小耿教授团队为她开展了单孔腹腔镜下胃切开取巨大毛发石术,仅用2.5厘米的单孔切口就为明明取出了约18×9厘米大小的毛发石。专家介绍,像明明这样的“长发公主综合征”患儿其实是罹患异食癖症,微创手术能为他们精准、快速地取出进食的异物,但对于患儿来说,心理治疗的关键作用不可忽视。
3次胃镜未取出
单孔腹腔镜为她“解决”巨大毛发石
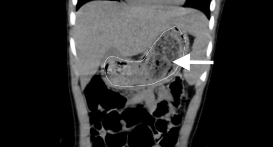
2个月前,明明出现了剑突下阵发性腹痛,在胃镜下发现,明明的胃内有一个巨大的毛发石。尽管接受了3 次胃镜检查,但当地医院团队仍无法将明明胃内的毛发石完整取出。明明的家长慕名来到中山大学孙逸仙纪念医院,在接受腹部CT检查后,进一步明确了胃内巨大毛发石情况,该院小儿外科主任邓小耿教授团队当即为明明的病情开展了讨论,决定为其实施单孔腹腔镜下胃切开取巨大毛发石术,解决这一持续折磨明明的问题。

CT检查呈现明明胃内有巨大的毛发石
手术过程中,小儿外科病区邓小耿主任医师、邱荣林主治医师采用单孔腹腔镜微创手术的方法,在明明脐孔下缘切开皮肤,开放一个约2.5cm的创口,并置入一次性单孔切口固定保护套及穿刺套管。手术团队用超声刀在明明胃体部无血管区切开胃壁,成功探查到胃内巨大毛发石的位置。这一毛发石呈胃铸型状,毛发间粘连明显,质地较硬,手术团队将毛发石头端拉出胃腔,装入标本保护袋中,经脐下切口移出腹腔。手术过程顺利,明明术后回复良好,无并发症,并在手术后1周出院。
邓小耿教授介绍,单孔腹腔镜手术作为一种微创手术技术,它与传统的腹腔镜手术相比具有创伤小、美容效果好、恢复快速、精准性高等优点。只需要通过脐部或脐周1个小切口进行操作,术后切口隐蔽于脐部皱褶之中,术后疤痕几乎不可见,因此在美容效果上具有明显优势。“目前我们科利用单孔腹腔镜完成多种外科疾病微创手术治疗,创伤小,美观,年龄从新生儿到青春期儿童,包括各种疑难杂症如消化系、泌尿系先天性畸形的微创手术及儿童恶性实体肿瘤的精准外科治疗。”
“长发公主综合征”实为异食癖
宜“治标治本”相结合
邓小耿教授介绍,明明所患的毛发胃石症是指人体吞服人或动物毛发在胃内凝结而形成的异物,又被叫做“长发公主综合征”,看起来就像《格林童话》里《莴苣公主》的主人公拉庞泽尔(Rapunzel)公主的大辫子,因此“长发公主综合征”又称“拉庞泽尔氏综合征(Rapunzel Syndrome),多见于异食癖症。
异食癖症是一种对不易消化的异物产生特殊嗜好的行为,多发于学龄前儿童。目前有关儿童异食癖症病因及发病机制的研究较少,其病因可能涉及到心理、环境以及身体生理因素。在心理因素方面,家庭环境、家庭关系、亲子关系等因素都可能对孩子形成异食癖症起到一定影响。此外,一些儿童可能模仿他人的行为而产生异食行为。有学者认为异食癖症是心理因素导致,与患者的家庭关系不融洽、父母疏于照顾子女、母婴分离等因素有关。该类患者往往性格孤僻、独自吞食异物病史较长,多为慢性过程,最终形成条件反射。亦有报道认为体内缺少铁、锌等微量元素也可导致异食癖。症状上,常见的包括腹痛、消化不良、恶心、呕吐等。
除了手术取石外,心理治疗也是关键的一环。心理治疗包括认知行为疗法、家庭治疗等,以帮助患者树立正确的饮食观念和心态,改变不良的进食行为,不然容易再次异食形成胃毛石症。
邓小耿教授提醒,如果家长发现孩子有异食癖症,应该尽早寻求医生的帮助。不少家长在发现孩子有进食异物的情况时,会通过打骂的方式来纠正孩子,但这有可能会导致孩子进食异物的行为变得更隐蔽。当孩子学会偷偷地进食异物,这很可能会带来更严重的后果。对有异食癖症的儿童,父母要付出更多的关心,满足孩子的情感需求,避免通过暴力方式纠正孩子,积极参与心理治疗,耐心地教育训练,在医生的帮助下进行治疗和引导,及时纠正孩子的不良行为,才能真正有效地预防。
文/广州日报新花城记者:任珊珊 通讯员:黄睿、伍耀豪
视频/广州日报新花城记者:徐依励
广州日报新花城编辑:张乐怡














































