盆环完全断裂,多处粉碎性骨折、脱位、移位,尿道断裂、外阴撕裂……近日一起交通事故中,广西一名4岁女童小花(化名)盆腹部遭到碾压,骨盆几近“散架”,但孩子依然顽强地活了下来。如此重创让见惯了大阵仗的医生们心痛不已,“克服万难也要修复好!”面对复杂严重的伤势,南医三院创伤骨科、妇科、泌尿外科专家在手术台上紧密合作,接力施救,奋战7个小时,终于成功完成了“拼图”式的精准修复。
事故中小小生命顽强求生
事故现场,当人们发现孩子仍有意识,马上将其紧急送往当地医院进行急救。急诊医生实施了骨盆骨折外固定手术和相关部位的裂伤缝合等处置后,小花被转入重症医监护室,病情逐渐趋于稳定,但一系列伤情仍需进一步处理,当地医院建议家长转院治疗。
随后,小花被送到南方医科大学第三附属医院,该院创伤骨科主任樊仕才团队为其作全面病情评估,并邀请妇产科、泌尿外科、麻醉科等多个学科专家会诊,经过详细讨论,最终为小花制定了周密的手术治疗方案,在得到家属同意后,于4月22日进行手术。
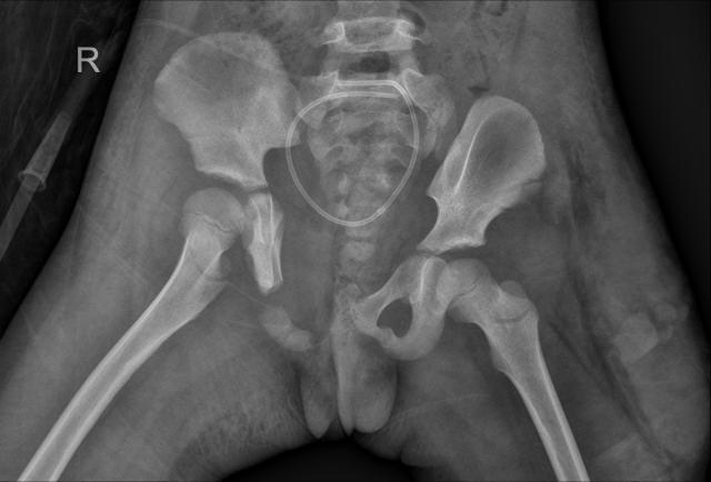
首先由樊仕才团队主刀,当骨折部位暴露在手术视野中,医生们不禁为这个孩子捏了一把汗:耻骨联合分离,左侧骶髂关节向前方脱位,双侧耻骨、髂骨多处骨折,断端移位,左侧腰骶干神经出现根性撕脱,左髋部及大腿外侧发现大量皮下积血、积液……克服一切困难,也要帮她“拼”回去!
多学科专家轮番接手 7小时精密修复
医生们仔细清理骨折部位间嵌插的软组织及凝血块,复位骨折部位,再用克氏针、空心钉等进行固定。为了保证治疗效果,他们还借助机器人导航技术,通过C形臂透视规划进钉位置和方向,在左右髋部外侧精准置入导针和空心螺钉。
樊仕才完成骨折内固定后,妇产科主任王雪峰上台为小花进行生殖道修复,细细缝合每一处裂伤和离断;紧接着,泌尿外科副主任医师罗新贵接力,为小花进行尿道修复。妇产科和泌尿外科的修复工作顺利完成后,樊仕才团队再次回到手术台,给小花置入外固定架固定针,连接外固定架,稳固骨折部位。
手术持续了7个多小时,最终顺利完成。术中小花失血约700毫升,通过及时输注4个单位红细胞悬液和400毫升新鲜冰冻血浆,小花的生命体征保持平稳,术后被安全送回病房。


术前


术后
最难关已过 孩子加油!
据樊仕才介绍,骨盆结构复杂,周围血管、神经丰富,这个部位骨折往往伴随着严重的软组织损伤,手术过程中稍有不慎就可能损伤重要血管神经,引发大出血或肢体功能障碍。而且,未成年人正处于生长发育阶段,手术不仅要修复骨折部位,更要考虑对其未来生长发育的影响,这对手术的精准度和医生的经验技术都提出了极高的要求。
所幸手术成功,最大的难关已经闯过,这让大家看到了希望,也为后续漫长的恢复之路提振了信心。孩子加油!
文、图/广州日报新花城记者:周洁莹 通讯员:高渝媛、游华玲
广州日报新花城编辑:李津





















































