肺癌是全球发病率与死亡率最高的恶性肿瘤。当肺癌发展到中晚期,脑转移悄然出现,不少患者及其家人会感到无助,甚至心生恐惧,接下来该怎么办?
“别慌!现在的治疗手段越来越多,关键是早发现、及时干预。”广州医科大学附属第一医院神经外科学科带头人、主任医师夏成雨介绍,临床上,灵活运用手术、放化疗与靶向治疗手段,肺癌脑转移病人的生活质量有望得到改善,生存期也得以延长。
病例
肺癌脑转移 颅压增高发“警报”
手术摘瘤消除脑水肿解危机
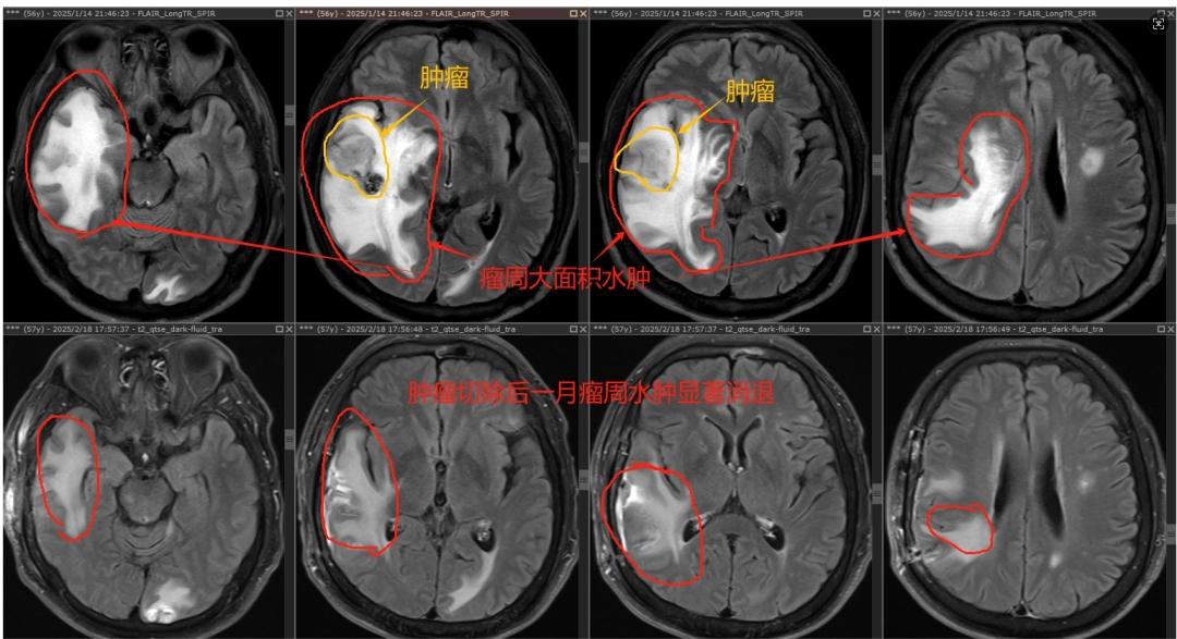
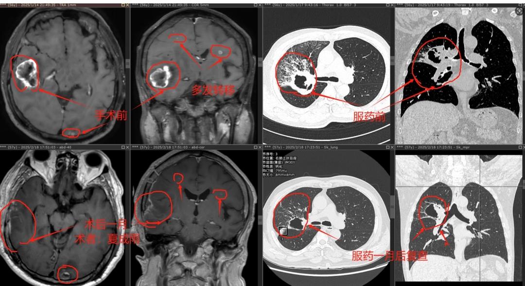
56岁的坚叔(化名)查出肺癌时已伴有颅内多发转移,不适合肺癌切除手术,其中右颞叶转移瘤最大径足有3.75厘米,肿瘤周围大面积脑水肿,硬生生地将大脑中线结构挤到移了位,颅内压力明显增高,出现无法缓解的头晕、头痛等症状。
“在这种情况下,如果贸然放疗,对肿瘤的‘攻击’不一定会有效,而脑水肿必然会加重,很有可能闯不过放疗后脑水肿加重的难关,如果发生脑疝,那就更危险了。”广州医科大学附属第一医院神经外科学科主任、主任医师夏成雨仔细为坚叔评估病情后,决定先为他施行手术切除右颞叶转移瘤。术后,坚叔的颅内高压“警报”症状“头痛头晕恶心”逐渐解除,术后一月复查原本被肿瘤和大面积脑水肿推挤移位的脑中线结构逐渐归位了,肿瘤周围的脑水肿也显著消退了。


坚叔治疗前后检查结果对比。
术后,结合病理和基因检测分析,医生为坚叔找到了合适的靶向药物。经过一段时间的靶向治疗,坚叔肺部肿块体积显著缩小了。
坚叔和家人深感庆幸,好在及时发现并听从医生建议进行了有效手术干预,避免因脑疝危及生命的同时,也赢得了后续治疗的机会。
诊断
发现这些“蛛丝马迹”
尽早排查潜伏病灶
“即便出现脑转移瘤,随着医学的进步,如今也有越来越多的治疗手段可选择,关键是早发现、及时干预。”夏成雨说。那么,如何及早揪出“潜伏”的肺癌脑转移病灶呢?他提醒,肺癌患者如果经常头痛,总是忍不住呕吐,看东西模糊不清,甚至出现偏瘫、说话不利索等症状,要高度警惕,可在神经外科医生指导下,借助以下几种检查手段,及早排查是否肺癌脑转移发出的“危险信号”:
1. 头颅磁共振平扫+增强:这一检查方式有如在给大脑拍“高清照”。夏成雨解释说,转移癌的特点是“小病灶,大水肿”,可能在较小的肿瘤周围出现大面积的脑水肿,这项检查一般能让隐藏在大脑中的大小病灶“现形”。
2. 头颅CT平扫:主要用于急性发病时,不过这种检查手段无法“揪出”较小的转移瘤。
3. 正电子发射计算机断层扫描(PET-CT):这种检查方法能够评价肿瘤和正常组织的代谢差异,有助于肿瘤的定性诊断,还可能顺藤摸瓜帮助找到全身其他部位的“潜伏”病灶。
“借助这些影像检查手段,再结合临床症状,我们能更早发现肺癌患者脑部是否有异常,为及时治疗干预提供有效依据。”夏成雨补充道。
治疗
灵活运用多种“武器”
制订个体化应对方案
肺癌患者万一查出脑转移瘤该怎么办?
“不用慌!我们会综合判断脑转移瘤的大小、位置、数目,还有病人的身体整体状况,以及是否存在高颅压等情况,制定出个性化的治疗方案。”夏成雨介绍说,临床上可用的治疗手段越来越多,包括手术、放疗、化疗或者靶向治疗等。
1. 转移瘤最大径>3厘米,建议手术治疗
比如坚叔确诊时,脑转移瘤最大径已经大于3厘米,而且已经出现明显高颅压,存在放疗禁忌。即便颅压能得到控制,由于血脑屏障的存在,作为大脑的一道“防护墙”,这一屏障在阻止有害物质入侵大脑的同时,也限制了药物的“攻击性”。所以,对于较大的病灶,药物效果往往不太理想,这种情况下,建议首选手术治疗。
有些患者的转移瘤可影响脑脊液循环引发脑积水,不但导致出现头痛、头晕、恶心呕吐等症状,病情发展迅速还可能导致昏迷,甚至因脑疝危及生命。

夏成雨(中)带领团队手术中。
“在这种关键时刻,尽快手术才有可能为后续综合治疗赢得一线生机。”夏成雨分析说,如果确定是因转移瘤引起脑室梗阻,可考虑切除肿瘤;但如果是脑膜转移无法直接切除肿瘤来解决脑积水问题,还可通过脑室腹腔分流术,将梗阻的脑脊液通过皮下隧道管腔引流到腹腔,以挽救患者的生命。
2. 转移瘤最大径<5毫米建议放疗
除了手术,放疗也是肺癌脑转移治疗的重要手段,特别是对最大径小于5毫米的转移瘤,尤其是位于丘脑、脑干、基底节等脑深部或者功能区等重要部位时,手术风险较大,放疗是更好的选择。对于那些有弥漫性转移灶、广泛脑膜转移的患者,全脑放疗是一种重要的治疗手段。通过对整个大脑进行放射性治疗,尽可能地“消灭”癌细胞,使病情得到控制。而立体定向放疗(如伽玛刀等)则适用于单个转移灶,或转移灶数量小于4个,或是在接受了颅内转移灶切除术后的辅助治疗。这种放疗方式能更精准地定位并给予肿瘤高强度的放射剂量,如同一位“神枪手”,能够精确地击中目标,同时更好地保护周围的健康组织。
3. 药物治疗
“根据术后肿瘤的病理和免疫组化结果,我们还可以为患者有针对性地选择化疗药或靶向药进行治疗。”夏成雨坦言,肺癌脑转移的治疗虽然充满挑战,但随着医疗技术的不断进步和多学科医生的共同努力,个体化治疗方案正在为患者带来更多的希望和生机。
专家简介

夏成雨
广州医科大学附属第一医院神经外科主任、学科带头人,主任医师、神经外科学博士,硕导、博士后导师。
先后公派赴国际著名的两大神经外科中心美国梅奥医学中心(Mayo Clinic)总部神经外科和美国凤凰城Barrow 神经研究所(Barrow Neurological Institute,BNI)进行临床学习,公派赴德国鲁尔大学附属医院和德国Greifswald 大学附属医院神经外科临床访问学习。
曾任安徽省医师协会神经外科学医师分会第二届主任委员, 中国医师协会脑胶质瘤专业委员会第一届委员。
现任中国医师协会神经外科医师分会 第七届委员、中国医促会颅底外科学分会第三届委员、中华医学会神经外科分会第八届青年委员、中国垂体腺瘤协作组委员等。
专业方向:擅长治疗各部位脑膜瘤、垂体瘤、听神经瘤、胶质瘤,脑转移瘤等颅脑及椎管肿瘤,尤其擅长颅底及脑干肿瘤、矢状窦等大静脉窦旁脑膜瘤全切术;烟雾病联合搭桥;颈动脉斑块狭窄内膜剥脱术。
出诊时间:荔湾区.大坦沙院区 周二上午、周三上午
文/广州日报新花城记者:翁淑贤 通讯员:梁博、韩文青
图片由受访者和医院提供
广州日报新花城编辑:梁超仪




















































